• देश
    • महाराष्ट्र
    • निवडणूक
    • मुंबई
    • पुणे
    • नागपूर
    • क्रीडा
    • वर्ल्ड
    • क्राईम
    • मनोरंजन
    • व्यापार
    • लाइफ स्टाइल
    • व्हायरल
    • नवराष्ट्र विशेष
    • करिअर
    • फोटो
    • व्हिडिओ गॅलरी
    • वेबस्टोरीज़
    • ऑटोमोबाइल
    • विज्ञान तंत्रज्ञान
Marathi news, ताज्या मराठी बातम्या, Marathi Samachar, मराठी बातम्या, Latest Marathi News
  • ई-पेपर
Marathi news, हिंदी न्यूज़, Marathi Samachar, हिंदी समाचार, Latest Marathi News
  • देश
  • महाराष्ट्र
  • राजकारण
  • मुंबई
  • पुणे
  • नागपूर
  • लाइफ स्टाइल
  • क्रीडा
  • क्राईम
  • विदेश
  • नवराष्ट्र विशेष
  • मनोरंजन
  • व्यापार
  • टेक
  • अन्य Navbharat LIVE
    • वेब स्टोरीज
    • व्हायरल
    • करिअर
    • धर्म
    • ऑटोमोबाइल
    • फोटो
    • व्हिडिओ
Marathi news, हिंदी न्यूज़, Marathi Samachar, हिंदी समाचार, Latest Marathi News
  • देश
  • राजकारण
  • महाराष्ट्र
  • मुंबई
  • पुणे
  • नागपूर
  • क्रीडा
  • वर्ल्ड
  • क्राईम
  • मनोरंजन
  • लाइफ स्टाइल
  • धर्म
  • व्हायरल
  • व्हिडिओ
  • वेब स्टोरीज़
  • फोटो
In Trends:
  • bigg boss marathi 6 |
  • T20 World Cup 2026 |
  • Gold Rate |
  • Marathi News |
  • Women's Premier League 2026
Follow Us
  • Google News
  • वेब स्टोरीज
  • फोटो
  • Navbharat
  • विडिओ
  • झटपट बातम्या
Marathi News » Topic » teeth home remedies
  • तंबाखू खाऊन दातांमध्ये वाढलेल्या वेदना कमी करण्यासाठी स्वयंपाक घरातील ‘या’ पदार्थाचा करा वापर, दात होतील स्वच्छ

    तंबाखू खाऊन दातांमध्ये वाढलेल्या वेदना कमी करण्यासाठी स्वयंपाक घरातील ‘या’ पदार्थाचा करा वापर, दात होतील स्वच्छ

    दातांमध्ये वाढलेली कीड नष्ट करण्यासाठी लवंग किंवा लसूणचा वापर करावा. यामुळे तोंडातील बॅक्टेरिअल इन्फेक्शन कमी होतात आणि दात स्वच्छ होण्यास मदत होते. चला तर जाणून घेऊया सविस्तर.
    Feb 10, 2026 | 08:36 AM
  • पांढरेशुभ्र दात पिवळे का पडतात? जाणून घ्या डाग पडण्यामागची खरी कारणे

    पांढरेशुभ्र दात पिवळे का पडतात? जाणून घ्या डाग पडण्यामागची खरी कारणे

    पांढरेशुभ्र दात हळूहळू पिवळे पडणे किंवा त्यावर डाग दिसणे ही सामान्य समस्या आहे. चुकीच्या सवयी, आहार आणि काही आरोग्यविषयक कारणांमुळे दातांचा नैसर्गिक रंग बदलू शकतो.
    Feb 04, 2026 | 11:30 AM
  • काळेकुट्ट दात होतील आठवडाभरात होतील मोत्यासारखे पांढरेशुभ्र! ‘ही’ घरगुती दंतमंजन दातांच्या समस्यांपासून कायमचा मिळवून देईल आराम

    काळेकुट्ट दात होतील आठवडाभरात होतील मोत्यासारखे पांढरेशुभ्र! ‘ही’ घरगुती दंतमंजन दातांच्या समस्यांपासून कायमचा मिळवून देईल आराम

    दातांवर वाढलेला पिवळेपणा नष्ट करण्यासाठी आयुर्वेदिक आणि घरगुती पदार्थांचा वापर करून बनवलेली दंतमंजन वापरावी. यामुळे दात स्वच्छ होतात आणि हिरड्यांच्या समस्यांपासून आराम मिळतो.
    Jan 13, 2026 | 10:00 AM
  • ब्रश करूनसुद्धा तोंडाला दुर्गंधीचा घाण वास येतो? ‘हे’ उपाय केल्यास निघून जाईल तोंडाची दुर्गंधी, कायमच राहाल फ्रेश

    ब्रश करूनसुद्धा तोंडाला दुर्गंधीचा घाण वास येतो? ‘हे’ उपाय केल्यास निघून जाईल तोंडाची दुर्गंधी, कायमच राहाल फ्रेश

    तोंडाच्या दुर्गंधीपासून आराम मिळवण्यासाठी घरगुती पदार्थांचे सेवन करावे. यामुळे दात आणि हिरड्या स्वच्छ होतात आणि तोंडाच्या दुर्गंधीपासून सुटका मिळते. जाणून घ्या सविस्तर.
    Dec 31, 2025 | 08:50 AM
  • Periodontitis: जबडा सडवू शकतो ‘हा’ आजार, 32 दात तुटण्याआधी त्वरीत करा 5 कामं

    Periodontitis: जबडा सडवू शकतो ‘हा’ आजार, 32 दात तुटण्याआधी त्वरीत करा 5 कामं

    पेरिओडोंटायटीस हा तोंडाचा एक आजार आहे जो केवळ जबड्यालाच नुकसान पोहोचवत नाही तर अनेक गंभीर आजारांनादेखील कारणीभूत ठरू शकतो. नियमितपणे हिरड्यांची तपासणी करावी, जाणून घ्या
    Dec 20, 2025 | 11:45 AM
  • पिवळसर, काळ्या दातांवर आणा सफेदी; दातांना चमकवण्यासाठी करा या फळांचे सेवन

    पिवळसर, काळ्या दातांवर आणा सफेदी; दातांना चमकवण्यासाठी करा या फळांचे सेवन

    पिवळे दात चारचौघात लाज आणतात. अनेकदा दात घासूनही दातांवर पिवळा थर चढू लागतो. यावर उपाय म्हणून अनेकजण केमिकलयुक्त पदार्थांचा वापर करू पाहतात. पण आज आम्ही तुम्हाला असा काय उपाय सांगणार…
    Dec 14, 2025 | 01:34 PM
  • Yellow Teeth Home Remedies: हळद-लवंगसह घरीच बनवा Herbal Tooth Powder, दातावरील पिवळा थर होईल गायब

    Yellow Teeth Home Remedies: हळद-लवंगसह घरीच बनवा Herbal Tooth Powder, दातावरील पिवळा थर होईल गायब

    आज आम्ही तुम्हाला घरगुती घटकांचा वापर करून घरी हर्बल टूथ पावडर कसे बनवायचे सांगणार आहोत. याचा वापर केल्याने दातदुखी, किडणे आणि तोंडाची दुर्गंधी यासारख्या समस्यांपासून मुक्तता मिळू शकते.
    Dec 09, 2025 | 07:58 PM
  • Dental Health : डेंटिस्टकडे जाण्याची गरज नाही, दातदुखीवर रामबाण ठरतात ‘हे’ घरगुती उपाय

    Dental Health : डेंटिस्टकडे जाण्याची गरज नाही, दातदुखीवर रामबाण ठरतात ‘हे’ घरगुती उपाय

    Home Remedies : दातदुखी प्रचंड त्रासदायक ठरते. दातांमध्ये होणाऱ्या या वेदना कमी करण्यासाठी तुम्ही घरगुती उपायांची मदत घेऊ शकता. पूर्वीच्या काळापासून दातांना मजबूत करण्यासाठी काही पदार्थांचा प्रामुख्याने वापर केला जातो.
    Dec 09, 2025 | 12:11 PM
  • अन्नपदार्थांचे कण अडकून दातांमध्ये ठणके मारतात? दातांचे आरोग्य सुधरण्यासाठी करून पहा ‘हे’ घरगुती उपाय, दातांमधील जंतू जातील मरून

    अन्नपदार्थांचे कण अडकून दातांमध्ये ठणके मारतात? दातांचे आरोग्य सुधरण्यासाठी करून पहा ‘हे’ घरगुती उपाय, दातांमधील जंतू जातील मरून

    दातांना लागलेली कीड नष्ट करण्यासाठी स्वयंपाक घरातील पदार्थांचा वापर करावा. यामुळे दात स्वच्छ होतात आणि दातांच्या समस्यांपासून आराम मिळतो. जाणून घ्या दात स्वच्छ करण्यासाठी उपाय.
    Dec 08, 2025 | 08:40 AM
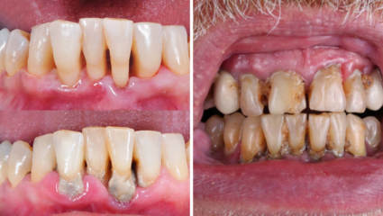
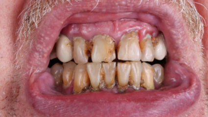
  • तंबाखू- गुटखा खाऊन सडलेले दात पांढरेशुभ्र करण्यासाठी ‘या’ आयुर्वेदिक पदार्थांचा करा वापर, १० रुपयांमध्ये होतील चमकदार दात

    तंबाखू- गुटखा खाऊन सडलेले दात पांढरेशुभ्र करण्यासाठी ‘या’ आयुर्वेदिक पदार्थांचा करा वापर, १० रुपयांमध्ये होतील चमकदार दात

    तंबाखू खाऊन कुजलेले दात स्वच्छ करण्यासाठी घरगुती आणि आयुर्वेदिक पदार्थांचा वापर करावा. यामुळे दातांवरील चमक वाढते आणि दात स्वच्छ होतात. जाणून घ्या दात स्वच्छ करण्यासाठी उपाय.
    Dec 07, 2025 | 05:30 AM
  • हिरड्यांना सूज येऊन वारंवार रक्त येतं? मग एम्स डॉक्टरांनी सांगितलेले ‘हे’ नक्की करून पहा, तोंडाच्या दुर्गंधीपासून मिळेल सुटका

    हिरड्यांना सूज येऊन वारंवार रक्त येतं? मग एम्स डॉक्टरांनी सांगितलेले ‘हे’ नक्की करून पहा, तोंडाच्या दुर्गंधीपासून मिळेल सुटका

    दात आणि हिरड्यांच्या वाढत्या समस्यांपासून आराम मिळवण्यासाठी घरगुती उपाय करावेत. दातांच्या संसर्गापासून बचाव करण्यासाठी कायमच दात स्वच्छ ठेवणे आवश्यक आहे. जाणून घ्या सविस्तर.
    Nov 24, 2025 | 11:32 AM
  • दातांना लागलेली कीड होईल कायमची नष्ट! रामदेव बाबांनी सांगितलेला ‘हा’ उपाय ठरेल प्रभावी, तोंडाच्या दुर्गंधीपासून मिळेल कायमची सुटका

    दातांना लागलेली कीड होईल कायमची नष्ट! रामदेव बाबांनी सांगितलेला ‘हा’ उपाय ठरेल प्रभावी, तोंडाच्या दुर्गंधीपासून मिळेल कायमची सुटका

    दातांना लागलेली कीड नष्ट करण्यासाठी बाबा रामदेव यांनी सांगितलेला आयुर्वेदिक आणि घरगुती उपाय करून पाहावा. यामुळे पायरिया आणि हिरड्यांच्या सर्वच समस्यांपासून कायमचा आराम मिळेल.
    Nov 18, 2025 | 08:42 AM
  • Teeth Whitening Remedies: जेवल्यानंतर लगेच करा ‘या’ औषधी पदार्थांचे सेवन, दातांच्या गंभीर समस्यांपासून मिळेल कायमचा आराम

    Teeth Whitening Remedies: जेवल्यानंतर लगेच करा ‘या’ औषधी पदार्थांचे सेवन, दातांच्या गंभीर समस्यांपासून मिळेल कायमचा आराम

    दातांच्या समस्यांपासून आराम मिळवण्यासाठी जेवणानंतर पेरूच्या पानांचे किंवा लवंगाचे सेवन करावे. यामुळे दात स्वच्छ होतील आणि दातांवर वाढलेला पिवळेपणा कमी होण्यास मदत होईल.
    Nov 05, 2025 | 02:11 PM
  • Teeth Whitening: दातांवर चढलाय पिवळट थर, मोत्यांसारख्या दातांसारखी ‘देशी’ जुगाड; तज्ज्ञांचा सोपा उपाय

    Teeth Whitening: दातांवर चढलाय पिवळट थर, मोत्यांसारख्या दातांसारखी ‘देशी’ जुगाड; तज्ज्ञांचा सोपा उपाय

    मिठाई, धूम्रपान, तंबाखू आणि मद्यपान जास्त प्रमाणात सेवन केल्यामुळे तुमचे दात पिवळे आणि दुर्गंधीयुक्त झाले आहेत का? आयुर्वेदिक डॉक्टर पिवळे दात पांढरे आणि मजबूत करण्यासाठी काही घरगुती उपाय सांगत आहेत
    Oct 31, 2025 | 09:07 PM
  • कोणताही गोड पदार्थ खाल्ल्यानंतर लगेच दात दुखतात? ‘हे’ उपाय करून घ्या दातांची योग्य काळजी, दात दिसतील पांढरेशुभ्र चमकदार

    कोणताही गोड पदार्थ खाल्ल्यानंतर लगेच दात दुखतात? ‘हे’ उपाय करून घ्या दातांची योग्य काळजी, दात दिसतील पांढरेशुभ्र चमकदार

    दातांमध्ये वाढलेल्या वेदनांपासून आराम मिळवण्यासाठी घरगुती उपाय करावेत. हिरड्यांना आलेली सूज, कीड आणि इतर समस्यांपासून आराम मिळवण्यासाठी लवंग तेलाचा वापर करावा. जाणून घ्या सविस्तर.
    Oct 30, 2025 | 05:30 AM
  • Cavity In Teeth: दातात वळवळणारा काळा किडा, सडण्यापासून वाचेल जबडा, 5 सोपे उपाय कराच

    Cavity In Teeth: दातात वळवळणारा काळा किडा, सडण्यापासून वाचेल जबडा, 5 सोपे उपाय कराच

    दातातील पोकळी बरी होऊ शकते का? उत्तर हो आहे. जर पोकळी सुरुवातीच्या किंवा मध्यम टप्प्यात असेल तर त्यावर नैसर्गिकरित्या उपचार करता येतात. दात सडणे, कीड लागणे हे थांबविण्यासाठी काय करावे,…
    Oct 06, 2025 | 04:47 PM
  • दातांवर साचलेला पिवळा थर मिनिटांमध्ये होईल गायब! स्वयंपाक घरातील ‘हे’ पदार्थ ठरतील प्रभावी, अंधारातही चमकतील दात

    दातांवर साचलेला पिवळा थर मिनिटांमध्ये होईल गायब! स्वयंपाक घरातील ‘हे’ पदार्थ ठरतील प्रभावी, अंधारातही चमकतील दात

    दातांवर साचून राहिलेला पिवळा थर कमी करण्यासाठी स्वयंपाक घरातील पदार्थांचा वापर करावा. यामुळे दात स्वच्छ होऊन पांढरे शुभ्र दिसतात. जाणून घ्या दात स्वच्छ करण्यासाठी घरगुती उपाय.
    Oct 05, 2025 | 08:30 AM
  • गोड खाऊन सडलेत दात, लागलीये कीड; फिलिंगशिवाय दातांची पोकळी भरतील 5 उपाय, मुळापासून निघेल दुर्गंधी पू

    गोड खाऊन सडलेत दात, लागलीये कीड; फिलिंगशिवाय दातांची पोकळी भरतील 5 उपाय, मुळापासून निघेल दुर्गंधी पू

    अनेक लोकांचा असा विश्वास आहे की दातांमध्ये पोकळी भरण्यासाठी डॉक्टरांच्या मदतीनेच उपचार करता येतात. पण लवकर समजल्यास कॅव्हिटी टाळता येऊन दात मजबूत करता येतात.
    Sep 18, 2025 | 11:39 AM
  • Teeth Home Remedies: दातांचा पिवळेपणा कसा काढावा? आयुर्वेदिक डॉक्टरने सांगितले ओरल हेल्थसाठी वापरा किचनमधील ‘हा’ पदार्थ

    Teeth Home Remedies: दातांचा पिवळेपणा कसा काढावा? आयुर्वेदिक डॉक्टरने सांगितले ओरल हेल्थसाठी वापरा किचनमधील ‘हा’ पदार्थ

    तोंडाच्या आरोग्याशी संबंधित समस्यांवर मात करण्यासाठी तुम्ही नैसर्गिक पद्धती वापरून पाहू शकता. अशीच एक पद्धत म्हणजे तुरटीचा वापर. तुरटीचा तुम्हाला कसा फायदा होऊ शकतो
    Sep 10, 2025 | 12:01 PM
  • दातांवर वाढलेल्या पिवळेपणामुळे दात अस्वच्छ दिसतात? मग अभिनेत्री निया शर्माने सांगितलेला ‘हा’ उपाय ठरेल प्रभावी

    दातांवर वाढलेल्या पिवळेपणामुळे दात अस्वच्छ दिसतात? मग अभिनेत्री निया शर्माने सांगितलेला ‘हा’ उपाय ठरेल प्रभावी

    दातांवर वाढलेला पिवळा थर कमी करण्यासाठी इतर कोणतेही केमिकल उपाय करण्याऐवजी घरगुती उपाय करून दातांची काळजी घ्यावी. जाणून घ्या दात स्वच्छ करण्यासाठी निया शर्माने सांगितलेला सोपा उपाय.
    Aug 30, 2025 | 11:14 AM

ताज्या बातम्या

पुढे वाचा
टिपू सुलतानवरुन महाराष्ट्रात पेटला वाद! सपकाळांच्या कौतुकावर मुख्यमंत्री फडणवीसांचा जोरदार पलटवार

टिपू सुलतानवरुन महाराष्ट्रात पेटला वाद! सपकाळांच्या कौतुकावर मुख्यमंत्री फडणवीसांचा जोरदार पलटवार

Feb 17, 2026 | 01:15 AM
पुणे पोलिसांकडून मोठ्या रॅकेटचा पर्दाफाश, 6 जणांना अटक; तब्बल ‘इतक्या’ कोटींचे ड्रग्ज पकडले

पुणे पोलिसांकडून मोठ्या रॅकेटचा पर्दाफाश, 6 जणांना अटक; तब्बल ‘इतक्या’ कोटींचे ड्रग्ज पकडले

Feb 17, 2026 | 12:30 AM
पुढील आठवड्यात PM मोदी इस्रायलच्या दौऱ्यावर? भारत-इस्रायल FTA कराराची शक्यता

पुढील आठवड्यात PM मोदी इस्रायलच्या दौऱ्यावर? भारत-इस्रायल FTA कराराची शक्यता

Feb 16, 2026 | 11:23 PM
AUS vs SL: ऑस्ट्रेलिया स्पर्धेतून बाद? कांगारूंना 8 विकेट्सने पराभूत करत श्रीलंकेची सुपर 8 मध्ये एंट्री; निसांकाचे नाबाद शतक

AUS vs SL: ऑस्ट्रेलिया स्पर्धेतून बाद? कांगारूंना 8 विकेट्सने पराभूत करत श्रीलंकेची सुपर 8 मध्ये एंट्री; निसांकाचे नाबाद शतक

Feb 16, 2026 | 10:24 PM
‘या’ तीन 350CC बाईकवर धडकते प्रत्येक तरुणाचे हृदय! मायलेज 40 किमी आणि बजेट फ्रेंडली किमतीची हमी

‘या’ तीन 350CC बाईकवर धडकते प्रत्येक तरुणाचे हृदय! मायलेज 40 किमी आणि बजेट फ्रेंडली किमतीची हमी

Feb 16, 2026 | 09:45 PM
Supreme Court: “कोणावरही इतका…”; लग्नापूर्वीच्या शारीरिक संबंधांवर सुप्रीम कोर्टाची महत्त्वपूर्ण टिप्पणी

Supreme Court: “कोणावरही इतका…”; लग्नापूर्वीच्या शारीरिक संबंधांवर सुप्रीम कोर्टाची महत्त्वपूर्ण टिप्पणी

Feb 16, 2026 | 09:30 PM
Crime News: ‘विनापरवानगी पॅलेस्टाईनच्या समर्थनार्थ आंदोलन’; पुणे पोलिसांचा कारवाईचा बडगा, थेट…

Crime News: ‘विनापरवानगी पॅलेस्टाईनच्या समर्थनार्थ आंदोलन’; पुणे पोलिसांचा कारवाईचा बडगा, थेट…

Feb 16, 2026 | 09:27 PM

व्हिडिओ

पुढे वाचा
Vasai : काँग्रेस भवनात गैरवर्तनाचा आरोप, विरारमध्ये राजकीय वातावरण तापलं

Vasai : काँग्रेस भवनात गैरवर्तनाचा आरोप, विरारमध्ये राजकीय वातावरण तापलं

Feb 16, 2026 | 08:09 PM
Chhatrapati Sambhajinagar : महानगरपालिकेत 16 हजार नावे वाढवण्यात आल्याचा Kirit Somaiya यांचा आरोप

Chhatrapati Sambhajinagar : महानगरपालिकेत 16 हजार नावे वाढवण्यात आल्याचा Kirit Somaiya यांचा आरोप

Feb 16, 2026 | 07:54 PM
Akola News : भ्रष्टाचाऱ्याच्या मुद्यावरून भाजप आणि उबाठा नगरसेवकांमधे उडाली झुंबड

Akola News : भ्रष्टाचाऱ्याच्या मुद्यावरून भाजप आणि उबाठा नगरसेवकांमधे उडाली झुंबड

Feb 16, 2026 | 07:42 PM
Mumbai : 16 ऐवजी 21 फेब्रुवारीला पोलीस भरती, प्रशासनाचे अधिकृत आवाहन

Mumbai : 16 ऐवजी 21 फेब्रुवारीला पोलीस भरती, प्रशासनाचे अधिकृत आवाहन

Feb 16, 2026 | 07:36 PM
Nalasopara : वसई विरारमध्ये ट्राफिकचा कहर;  दंड फक्त बाईकस्वारांसाठीच? चारचाकी पार्किंगकडे प्रशासनाचे दुर्लक्ष

Nalasopara : वसई विरारमध्ये ट्राफिकचा कहर; दंड फक्त बाईकस्वारांसाठीच? चारचाकी पार्किंगकडे प्रशासनाचे दुर्लक्ष

Feb 16, 2026 | 06:00 PM
Pune BJP Congress Rada : तपासात जो कोणी दोषी आढळेल, त्याच्यावर कडक कारवाई केली जाईल- पोलीस आयुक्त

Pune BJP Congress Rada : तपासात जो कोणी दोषी आढळेल, त्याच्यावर कडक कारवाई केली जाईल- पोलीस आयुक्त

Feb 16, 2026 | 05:55 PM
Ahilyanagar : भिंगारमध्ये बिबट्याचा थरार! 3 तासांच्या प्रयत्नानंतर वनविभागाकडून पकडण्यात यश

Ahilyanagar : भिंगारमध्ये बिबट्याचा थरार! 3 तासांच्या प्रयत्नानंतर वनविभागाकडून पकडण्यात यश

Feb 16, 2026 | 03:33 PM

Popular Sections

  • देश
  • विदेश
  • लाईफस्टाईल
  • मनोरंजन
  • क्रीडा
  • व्यापार
  • वेब स्टोरीज

Maharashtra Cities

  • मुंबई
  • पुणे
  • नागपूर
  • ठाणे
  • नाशिक
  • रत्नागिरी
  • पालघर
  • रायगड

More

  • धर्म
  • ऑटो
  • करिअर
  • व्हायरल
  • फोटो
  • नवराष्ट्र विशेष
  • टेक
  • व्हिडिओ
Navarashtra

Follow Us On

Contact Us About Us Privacy Policy
Hindi News Epaper Marathi Epaper Hindi RSS Sitemap Author

© Copyright Navarashtra 2026 All rights reserved.